Orthopaedic Fracture Fixations
Stabilizing and fixing fractures to promote healing and restore mobility.
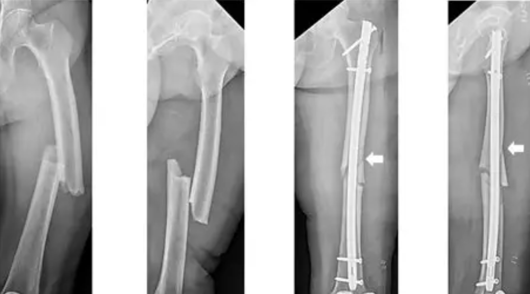
What is Orthopaedic Fracture Fixation?
A surgery that stabilizes broken bones using screws, plates, or rods so they heal correctly.


Who Needs Orthopaedic Fracture Fixation?
- Patients with unstable, displaced, or complex fractures
- Those that cannot heal well with plaster alone
How is Orthopaedic Fracture Fixation Performed?
The broken bone is aligned and fixed with metal implants that hold it until it heals naturally.
Benefits
- Proper bone healing
- Early movement and faster return to work
- Prevents deformity and stiffness
Risks & Recovery
Potential Risks
Infection, implant irritation, delayed healing.
Recovery Timeline
Most bones heal in 6–12 weeks.
Why Choose Spineverse?
Our expert fixation techniques ensure minimal downtime for orthopaedic fracture patients. Dr. Varun Khanna's expertise ensures precise diagnosis and personalized treatment plans, leveraging advanced technology to promote rapid healing and restore mobility.
- Board-certified specialists
- State-of-the-art facilities
- Personalized care plans
- Minimally invasive options
Patient Success Stories
"My leg fracture was fixed perfectly, and I’m back to work in weeks. Great care!"
- Vijay P., 35
"The arm fixation surgery healed my bone, and I regained full movement. Thank you!"
- Priya N., 28